Unfallchirurgie und orthopädische Chirurgie, Wiederherstellungschirurgie und Sporttraumatologie
Die Abteilung für Unfallchirurgie und Orthopädie, Chefarzt Dr. med. Mathias Schulz, ist im Auftrage der Berufsgenossenschaft zur Behandlung von Arbeitsunfällen, Schul- und Wegeunfällen zugelassen. Sämtliche Verletzungen der Stütz- und Bewegungsorgane sowie deren Folgezustände werden mit den heute anerkannten Verfahren behandelt.
Spezialität der Abteilung sind Operationen am Schultergelenk, Hüftgelenk, Kniegelenk und oberen Sprunggelenk nach Verletzung und bei Arthrose sowie Achsenkorrekturen am Bein und Fuß.
Einen besonderen Schwerpunkt stellt die Sporttraumatologie sowie die Wiederherstellungschirurgie verletzter Extremitäten und Gelenke dar. Neben der Endoprothetik (siehe EPZ) liegt der operative Schwerpunkt im Bandersatz am Kniegelenk.
Sie sehen hier ein Video über die bei uns durchgeführte Technik der vorderen Kreuzbandplastik.
Zur Anwendung kommen hier die neuesten und bewährtesten Instrumente und Implantate, im Bereich des Hüft- und Kniegelenkes zusätzlich die Computerunterstützte Navigation bei der Implantation künstlicher Gelenke.
Operationsspektrum der Abteilung für Unfallchirurgie und Orthopädie
- Schultergelenk
- Arthroskopische Operationen bei Sehnenverletzung der Rotatorenmanschette
- Impingement Syndrom und Wiederherstellung nach Schulterverrenkung (Abb. 1)

- Synovektomie und Schleimbeutelbeseitigung
- Operation bei Arthrose des Schultereckgelenkes
- Ellenbogengelenk
- Arthroskopische Operationen freier Gelenkkörper und Verwachsungen
- Sogenannte Tennis- und Golfarmarmchirurgie
- Behandlung von Nervenengpasssyndromen
- Bicepssehnenrefixierung
- Hüftgelenk
- Implantation von zementfreien oder zementierten Endoprothesen mit Computerassistierter Implantation der Hüftpfanne und Implantation anatomisch geformter Hüftschäfte bei minimalem Zugang (Abb. 2)

- Gamma Nagelung bei Hüftgelenknahen Brüchen
- Titanschraubenostesynthesen zur Erhaltung des Hüftkopfes bei Brüchen des jüngeren Menschen
- Duokopfprothesenimplantation bei Hüftgelenksbrüchen des sehr alten Menschen
- Implantation von zementfreien oder zementierten Endoprothesen mit Computerassistierter Implantation der Hüftpfanne und Implantation anatomisch geformter Hüftschäfte bei minimalem Zugang (Abb. 2)
- Kniegelenk
- O- und X- Bein
Oberes Sprunggelenk
- Arthroskopische Operationen bei Knorpeldefekten und Narbenverwachsungen
- Bandplastiken nach Aussenbandverletzungen und Syndesmosenverletzungen
- Knorpelersatzoperationen
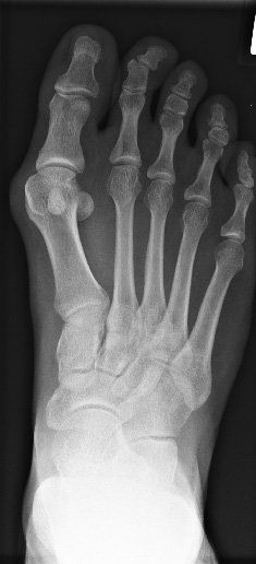
- Vorfuss
- Umstellung bei Hallux valgus, Gelenkerhaltend, wenn möglich (Abb. 9)

- Umstellung bei Hammer- und Krallenzehen
- Resektionsarthroplastiken bei Zehenfehlstellungen
- Behandlung von Knochenbrüchen an Armen und Beinen
- Mit neuesten winkelstabilen Platten und Nägeln, sofern erforderlich
- Gamma Titan Nägeln am Hüft- und Oberschenkelbereich (Abb. 10)

- Titan Elastic Nägeln bei Kindern
- Spezialschrauben zur punktuellen Verschraubung bei Gelenkbrüchen
- Sämtlichen klassischen Osteosyntheseverfahren
- Konservative Behandlung, wenn indiziert













